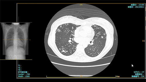
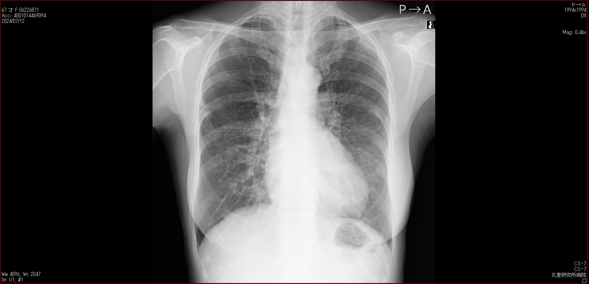
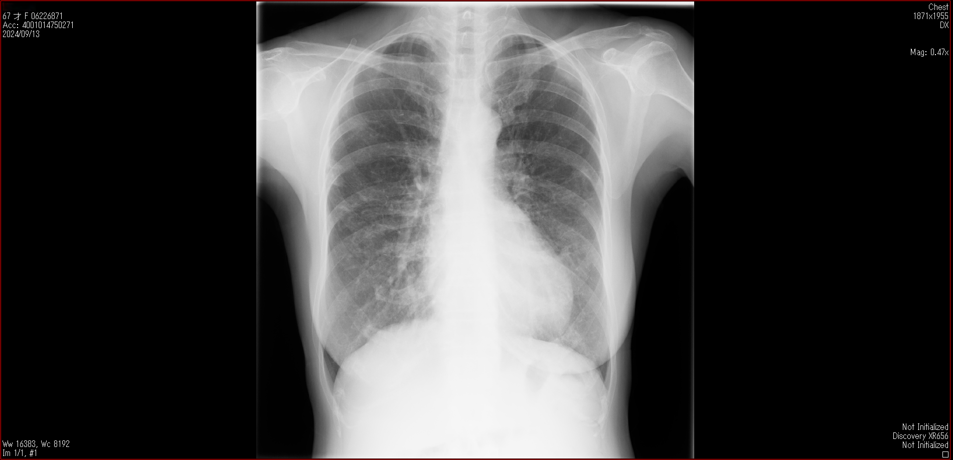
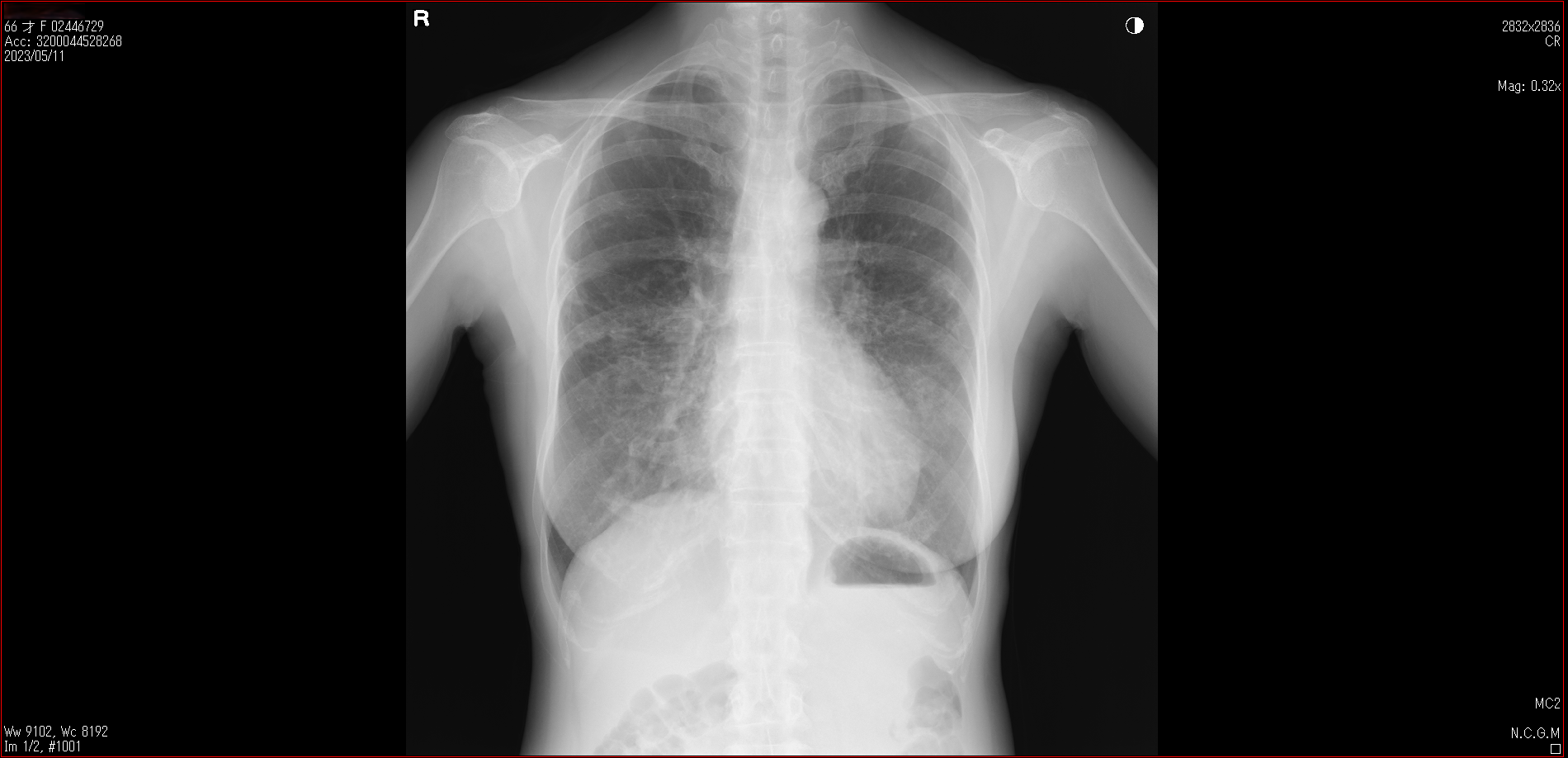
肺画像等の推移(2023.5~)
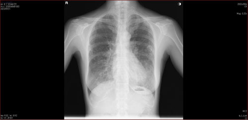
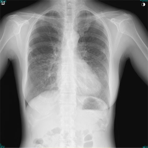
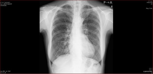
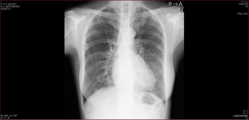
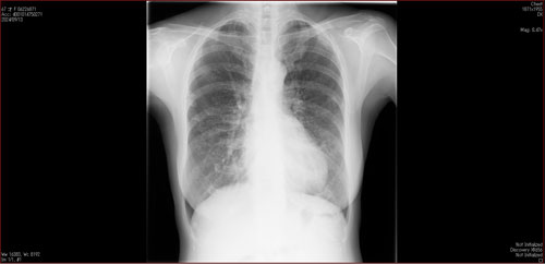
肺画像について 私は医療従事者ではないので、肺画像を見て、前回より改善が見られる、あるいは悪化しているといった推移を読み取ることはできません。国立系病院から入手した肺画像データをそのままアップロードします。
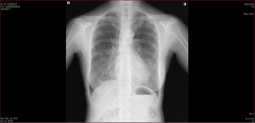
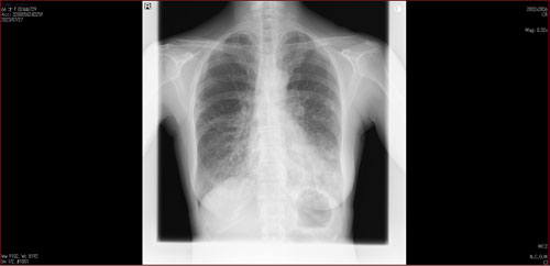
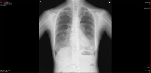
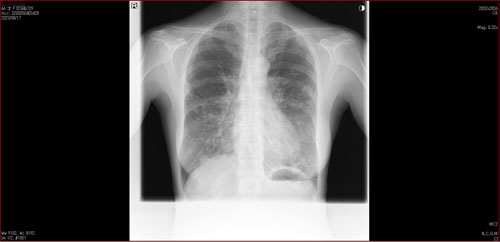
肺X線画像
2023
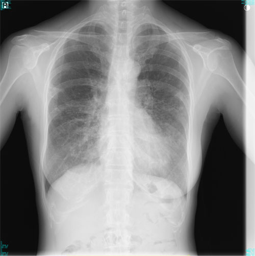
- 2023.05.11 要観察と診断された画像(国立系病院)

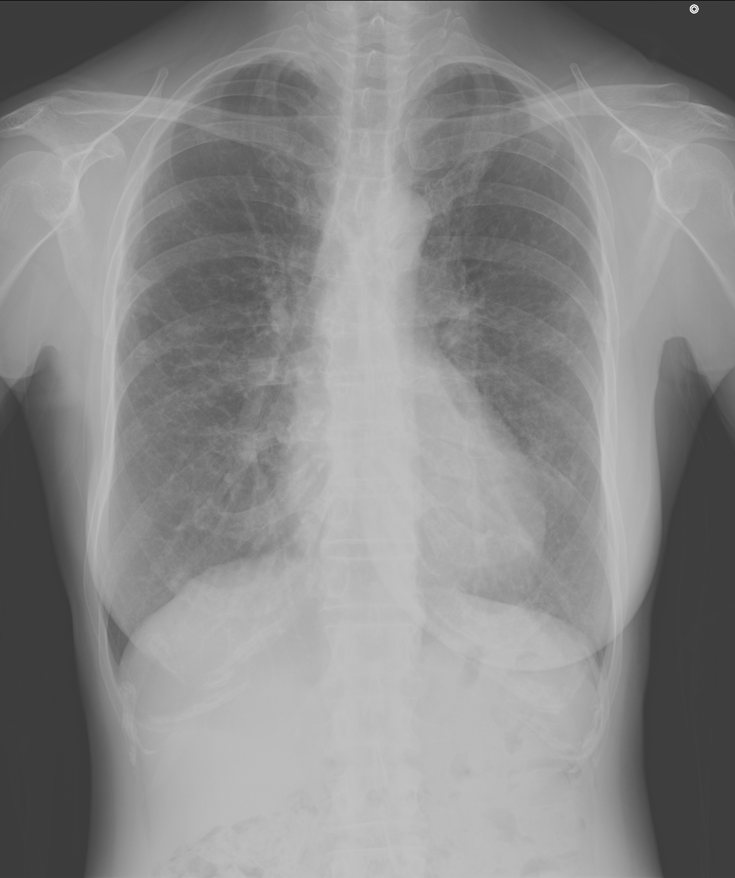
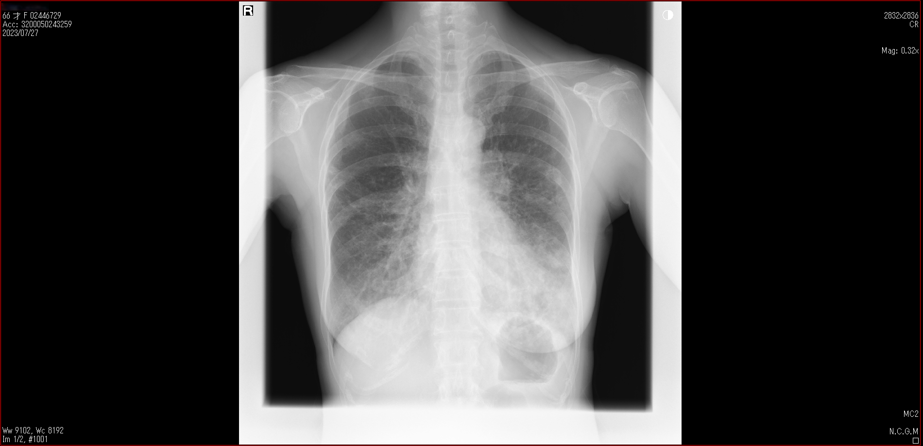
- 2023.07.27 肺炎と診断された画像(国立系病院)

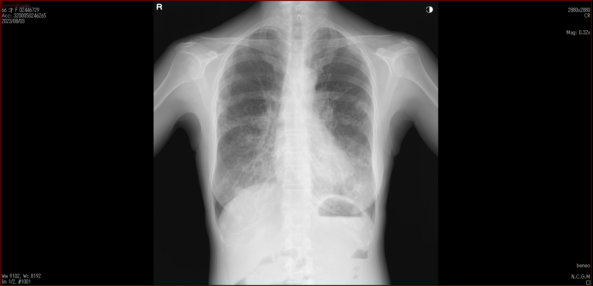
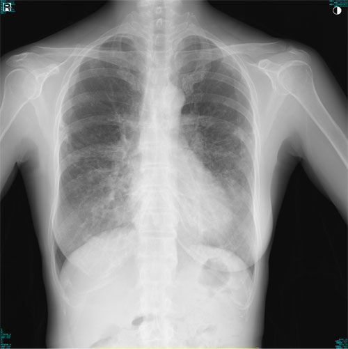
- 2023.08.03 肺炎後の要観察(1)(国立系病院)

- 2023.08.17 肺炎後の要観察(2)(国立系病院)

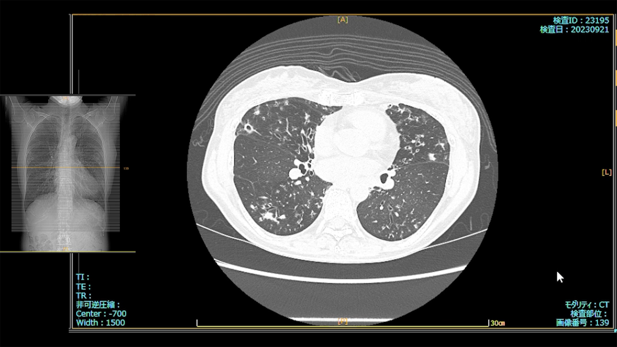
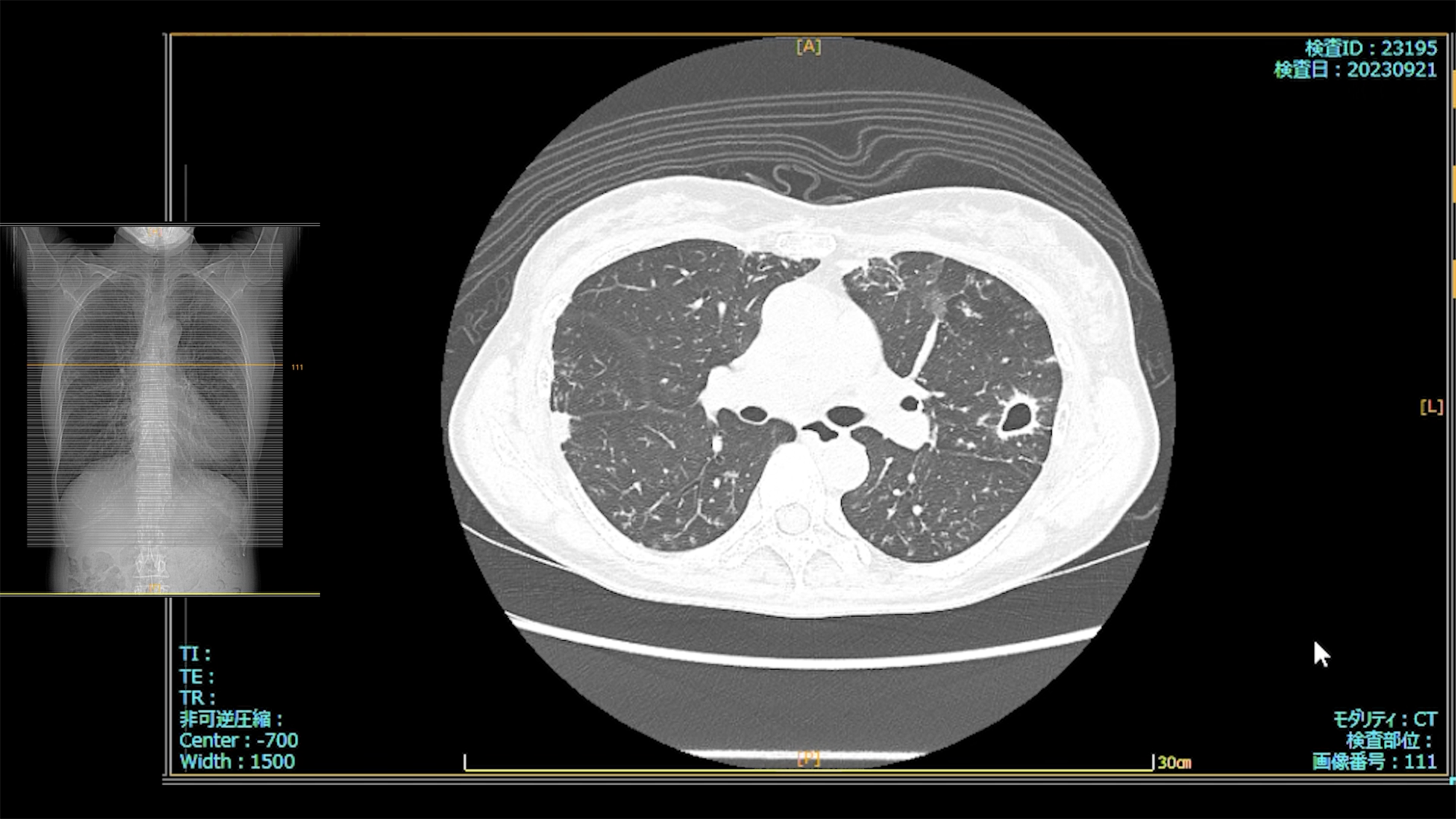
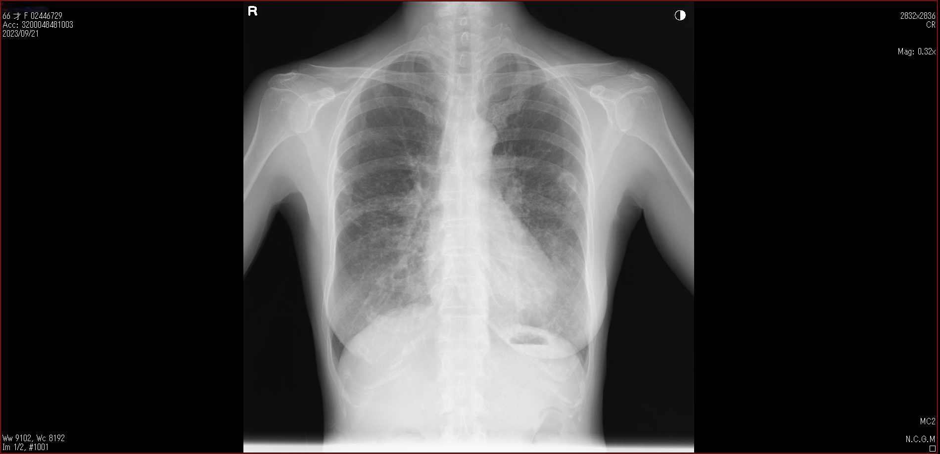
- 2023.09.21 入院加療の必要ありと診断された画像(国立系病院)

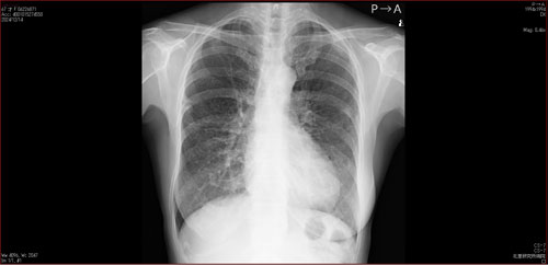
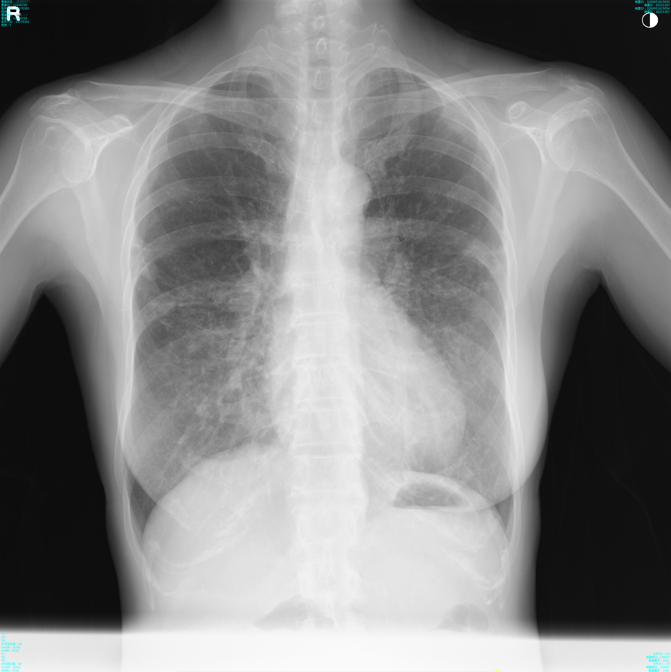
- 2023.12.07 入院前の画像(国立系病院)

- 2023.12.19 入院当日の画像(国立系病院)

- 2023.12.26 入院1週間後の画像(国立系病院)

2024
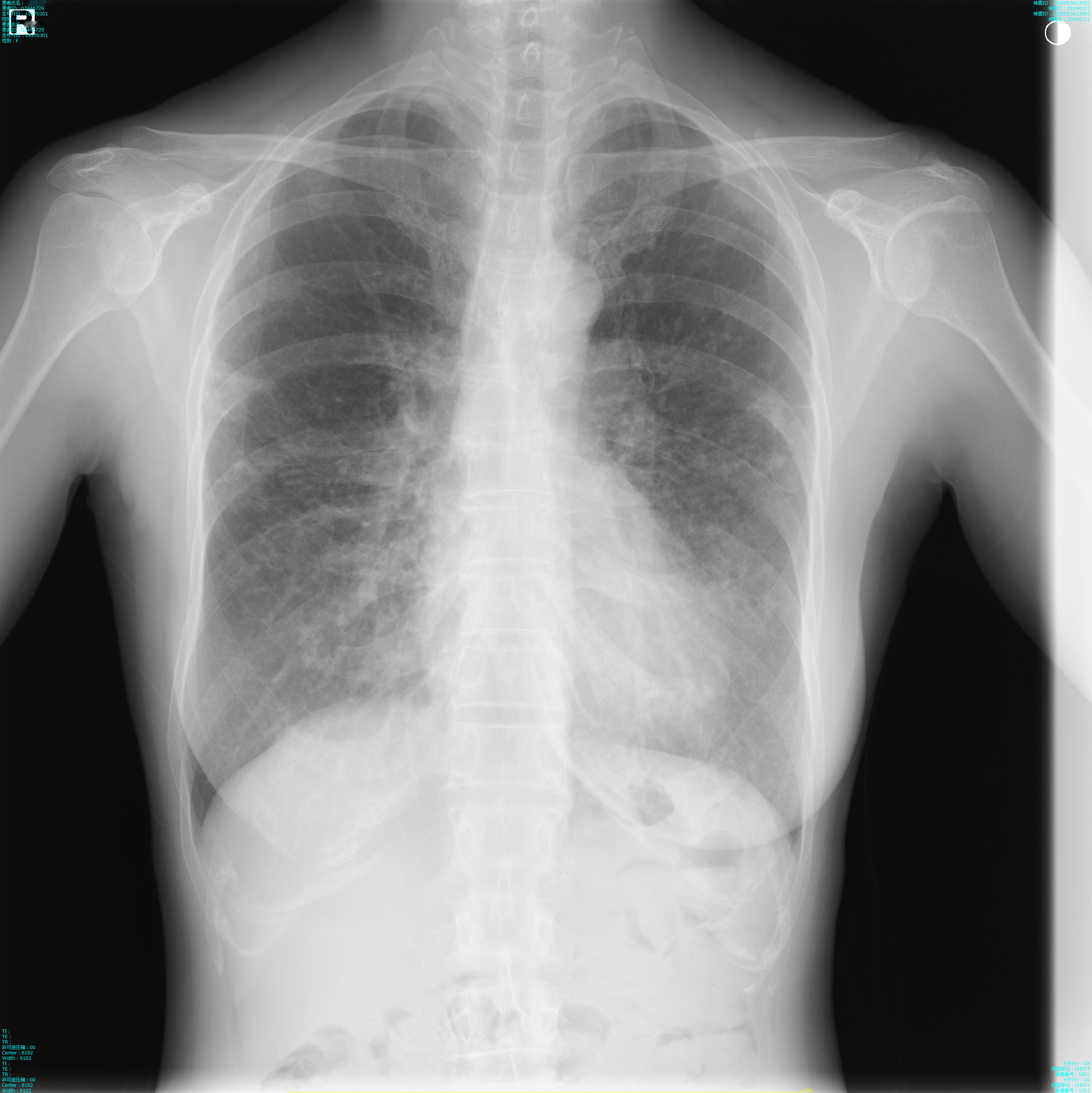
- 2024.01.11 退院後の要観察(1)(国立系病院)

- 2024.02.15 退院後の要観察(2)(国立系病院)

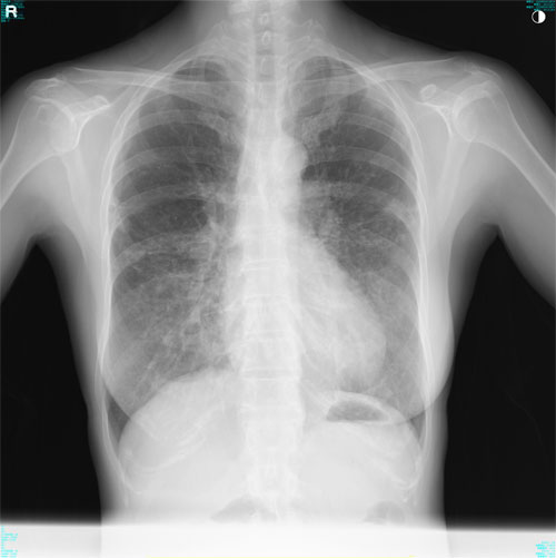
- 2024.03.15 他病院での人間ドック時の画像

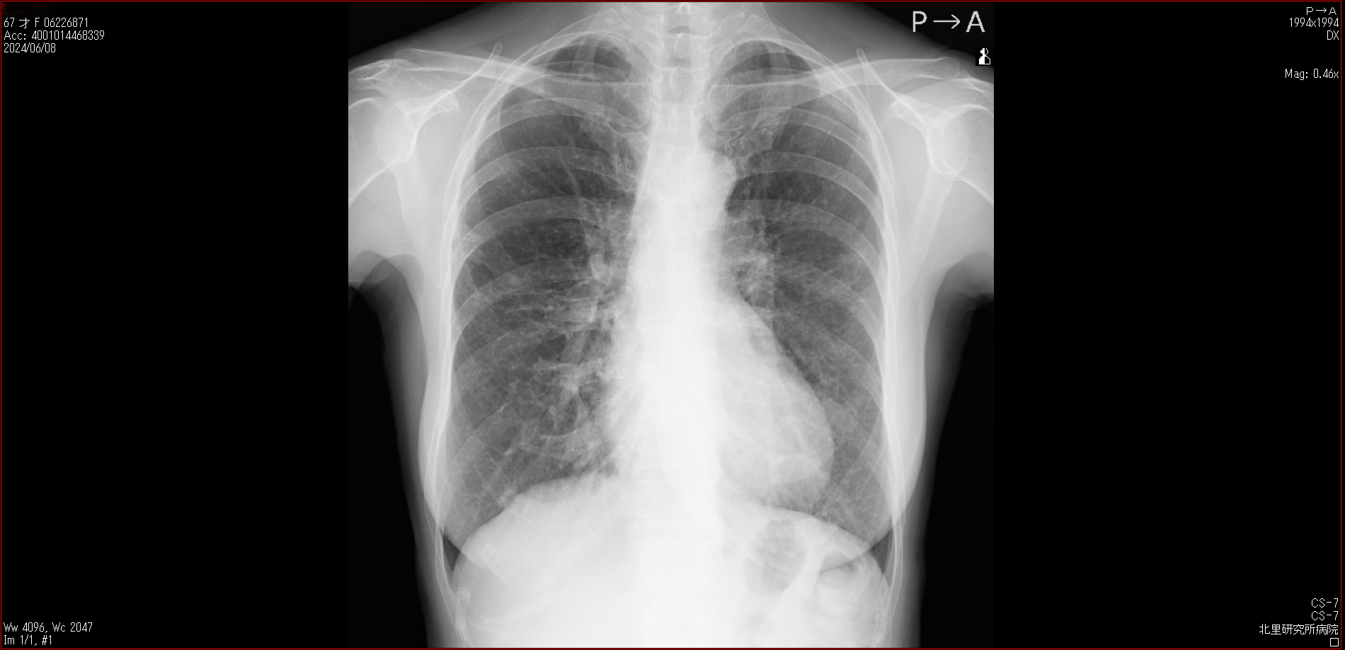
- 2024.06.08 転院後の要観察(1)(私立の病院Z)

- 2024.07.12 転院後の要観察(2)(私立の病院Z)

- 2024.09.13 転院後の要観察(3)(私立の病院Z)

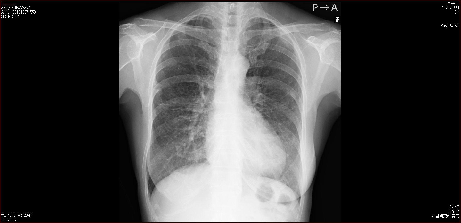
- 2024.12.14 転院後の要観察(4)(私立の病院Z)

コメント(工事中)

